PTCA / Stentimplantation

Der Name beschreibt bereits grob das Verfahren: Durch die Haut (perkutan) wird der sog. Herzkatheter, ein dünner biegsamer Kunststoffschlauch in die Gefäßlichtung (transluminal) eingeführt, bis in die Arterien des Herzens (coronar) vorgeschoben und deren Lichtung wiederhergestellt (Angioplastie: angio = Gefäß, plastie = Wiederherstellung).

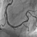
Verengung der rechten Kranzaterie
Entfalteter Ballon während der PTCA
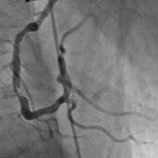
Behandelte Kranzaterie ohne Verengung

Bei uns wird überwiegend vom Arm- besser gesagt, vom Handgelenk aus untersucht. Das hat den Vorteil, dass die Liegezeit sich stark verkürzt. Falls es vom Handgelenk aus nicht möglich ist (z.B. weil die Arterie im Ellenbogenbereich eine Schlaufe bildet), wird von der Leistenarterie aus untersucht.

Der andere übliche Begriff "Ballondilatation" beschreibt, wie dies geschieht: mit Hilfe eines Ballons an der Schlauchspitze wird die verengte Stelle aufgedehnt. Dabei werden die Ablagerungen wie Fett und Kalk zusammen- und in die elastische Gefäßwand hineingedrückt und verbleiben dort. Damit die Ärztin/ der Arzt die richtige Position findet, wird die Untersuchung unter Röntgenkontrolle durchgeführt. Um die Gefäße besser sehen zu können, wird dabei Kontrastmittel über den Katheter in die Arterien gespritzt. Auch das Ergebnis der Aufdehnung wird mittels Röntgenbild kontrolliert.

Um den erkrankten Gefässabschnitt von innen abzustützen, ist sehr häufig die zusätzliche Implantation eines kleinen Metallgeflechtes notwendig (Stent). Dieser ist auch auf einem Ballon montiert, wird hierüber in den erkrankten Gefässabschnitt eingeschoben und durch Aufblasen des Ballons aufgespannt.

Da auch eine Ballondilatation – wie jeder Eingriff – Risiken birgt, wird sie erst dann durchgeführt, wenn die Verengungen der Herzkranzgefäße ein bestimmtes Maß überschritten haben. Als Richtlinie gilt eine Einengung des Gefäßquerschnittes um mehr als 75 %. Meist haben die Patienten erst ab einer Verengung von 80 % Beschwerden. In vielen Fällen ist eine PTCA möglich, selbst wenn ein Gefäß mehrere Verengungen aufweist oder mehrere Herzkranzarterien betroffen sind. In einigen Fällen ist es ratsam, prophylaktisch (also vorbeugend) aufzuweiten, auch wenn die Patienten keine Beschwerden verspüren: dies betrifft häuiger Diabetiker, die ihre Schmerzen nicht mehr wahrnehmen können oder wenn Voruntersuchungen Hinweise auf bereits verursachte Durchblutungsstörungen erbracht haben.